Danh sách các phần
Trả phí
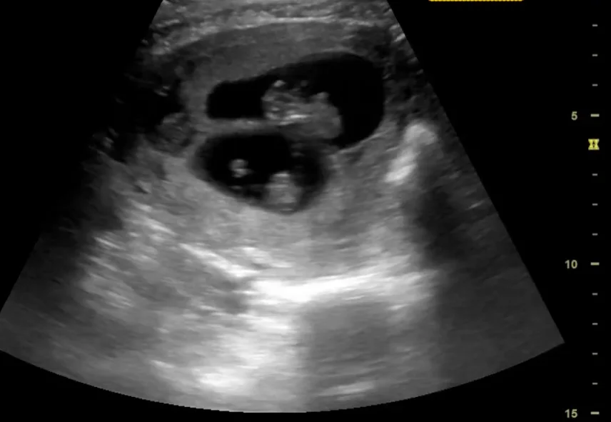
Bánh nhau - túi ối trong song thai (Chorionicity- Amnionicity)
01/04/2026
Trả phí
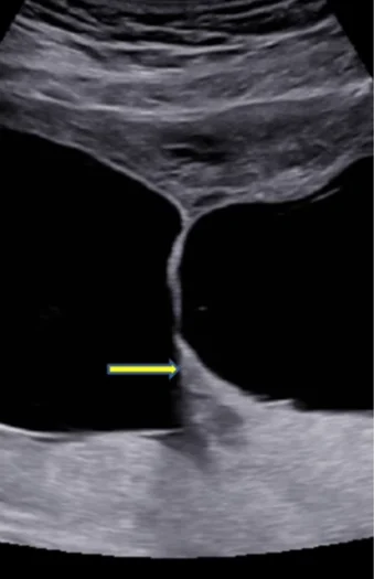
Song thai hai nhau - hai ối (Dichorionic Diamniotic Twins - DCDA)
01/04/2026
Trả phí
Song thai một nhau - hai ối (Monochorionic Diamniotic Twins - MCDA)
01/04/2026
Trả phí
Dán nhãn và đánh giá tương hợp Song thai (Fetal Labeling & Concordance Assessment)
01/04/2026
Trả phí
Dây rốn quấn nhau ở song thai (Cord entanglement)
01/04/2026
Trả phí
Hội chứng truyền máu song thai (Twin-Twin Transfusion Syndrome - TTTS)
01/04/2026
Trả phí
Thai chậm tăng trưởng chọn lọc trong sinh đôi (Selective Fetal Growth Restriction - sFGR)
01/04/2026
Trả phí
Hội chứng thiếu máu – đa hồng cầu Song thai (Twin Anemia-Polycythemia Sequence - TAPS)
01/04/2026
Trả phí
Hội chứng Đảo ngược tưới máu động mạch Song thai một bánh nhau (Twin Reversed Arterial Perfusion - TRAPS)
01/04/2026