Danh sách các phần
Trả phí
Tổng quan bánh nhau và dây rốn (Approach to the Placenta and Umbilical Cord)
01/04/2026
Trả phí
Nhau bong non (Placental Abruption)
01/04/2026
Trả phí
Nhau tiền đạo (Placenta Previa) / Nhau bám thấp (Low-Lying Placenta)
01/04/2026
Trả phí
Nhau cài răng lược (Placenta Accreta Spectrum - PAS)
01/04/2026
Trả phí
Hồ huyết bánh nhau và huyết khối gai nhau (Placental Lakes & Intervillous Thrombus)
01/04/2026
Trả phí
Nhau phụ (Succenturiate Lobe)
01/04/2026
Trả phí
Nhau cuộn mép (Circumvallate Placenta)
01/04/2026
Trả phí
U máu bánh nhau (Chorioangioma)
01/04/2026
Trả phí
U quái bánh nhau (Placental Teratoma)
01/04/2026
Trả phí
Loạn sản trung mô bánh nhau (Placental Mesenchymal Dysplasia - PMD)
01/04/2026
Trả phí
Bánh nhau dày (Placentomegaly)
01/04/2026
Trả phí
Nang bánh nhau (Placental Cysts)
01/04/2026
Trả phí
Dây rốn bám mép / Dây rốn bám màng (Marginal Placental Cord Insertion / Velamentous Cord Insertion)
01/04/2026
Trả phí
Dây rốn một động mạch (Single Umbilical Artery - SUA)
01/04/2026
Trả phí
Giãn tĩnh mạch rốn thai nhi (Umbilical Vein Varix - UVV)
01/04/2026
Trả phí
Tồn tại tĩnh mạch rốn phải thai nhi (Persistent Right Umbilical Vein - PRUV)
01/04/2026
Trả phí
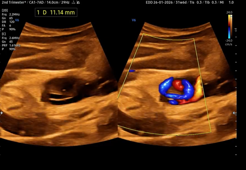
Xoắn dây rốn (Umbilical Cord Coiling)
01/04/2026
Trả phí
Dây rốn thắt nút (True Umbilical Cord Knot)
01/04/2026
Trả phí
Mạch máu tiền đạo (Vasa Previa )
01/04/2026
Trả phí
Nang dây rốn (Umbilical Cord Cysts)
01/04/2026
Trả phí
Huyết khối mạch máu rốn (Umbilical Vessel Thrombosis)
01/04/2026